Full Mouth Rehabilitation at Valley View Dental
Restoring Comfort, Function, and Confidence in Your Smile
When several dental concerns affect your ability to eat comfortably, speak clearly, or smile with confidence, a personalized full mouth rehabilitation can help restore both your oral health and your quality of life. At Valley View Dental, we create customized treatment plans designed to rebuild the strength, function, and appearance of your smile in a comfortable and supportive environment.
Full mouth rehabilitation combines multiple restorative and cosmetic treatments to address complex dental needs in a carefully planned sequence. Every treatment is tailored to your goals, comfort, and long-term health.
SCHEDULE YOUR APPOINTMENT
What Is Full Mouth Rehabilitation?
Full mouth rehabilitation is a comprehensive approach that restores or rebuilds most or all of the teeth in the upper and lower jaws. It is often recommended when teeth have experienced extensive wear, damage, decay, tooth loss, or bite issues that affect everyday function.
Rather than treating one concern at a time, full mouth rehabilitation looks at your entire smile as a whole to create lasting results.
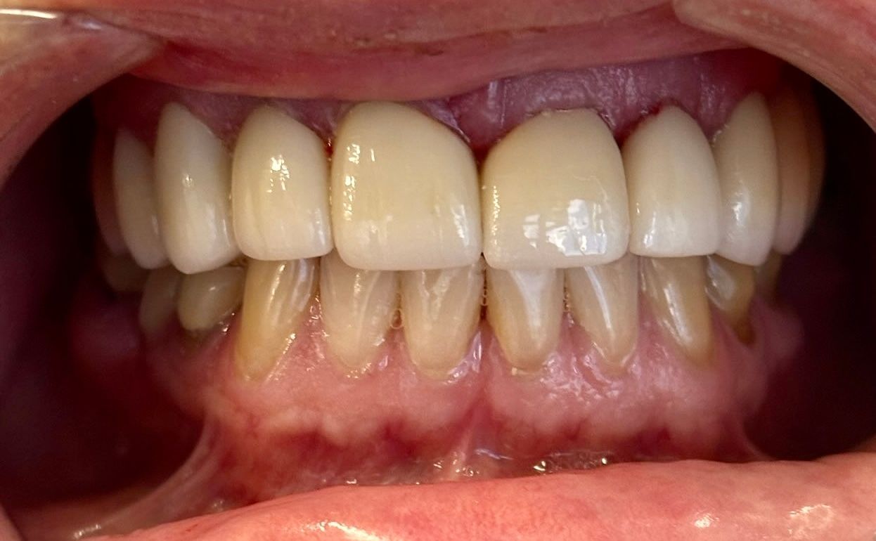
Full Arch Rehabilitation BEFORE AND AFTER
Conditions Full Mouth Rehabilitation Can Address
This treatment may be recommended for patients experiencing:
- Multiple damaged or worn teeth
- Missing teeth
- Severe tooth decay
- Bite misalignment
- Broken or failing dental restorations
- Jaw discomfort related to uneven bite forces
- Difficulty chewing or speaking comfortably
Our goal is to improve both appearance and function while protecting your long-term oral health.
Treatments That May Be Included
Your rehabilitation plan may involve one or more treatments depending on your needs, including:
- Dental crowns
- Dental implants
- Bridges
- Tooth-colored fillings
- Veneers
- Invisalign
- Bite adjustment
- Preventive periodontal care
We use advanced digital technology to carefully evaluate your bite, tooth structure, and smile design so each treatment works together naturally.
A Personalized Step-by-Step Process
Every full mouth rehabilitation begins with a detailed consultation and complete oral evaluation. We take time to understand your concerns, review your dental history, and discuss what you would like to improve.
From there, we create a treatment roadmap that allows you to move through care comfortably and confidently. Some patients complete treatment in phases, while others combine procedures for efficiency.
Why Full Mouth Rehabilitation Matters
A healthy smile is about more than appearance. When your teeth work properly together, daily activities become easier and more comfortable.
Benefits often include:
- Improved chewing ability
- Better speech clarity
- Reduced jaw strain
- Stronger long-term dental health
- A more balanced, natural-looking smile
- Increased confidence in everyday life
Comfortable Care Designed Around You
At Valley View Dental, we understand that extensive dental treatment can feel overwhelming. Our team focuses on making every visit calm, clear, and supportive. We explain each step carefully, answer questions, and prioritize your comfort throughout the process.
Schedule a Consultation
If you have several dental concerns and want to explore a complete smile restoration, we are here to help.
